Skip to main content Skip to footer

USA

Kell Koch

First off, I want to thank everyone here for the excellent care I have received. In my experience, it is unmatch to any type of healthcare I have ever received.

Quote

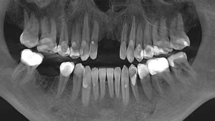
My first visit was in December 16. I had my 4 wisdom teeth cavitations cleaned, 3 more cavitations (from teeth that had been extracted in the summer 16 in the USA) cleaned, and implants placed. I also had a gold crown removed, along with a little metal. This last visit on July 16, we fixed various teeth that had plastic fillings and replaced them with ceramic fillings and crowns. We most importantly extracted 2 teeth that had deep root infections, cleaned cavitations and placed 2 implants. I experienced an almost immediate sigh of relief in my whole body. Then a boost of energy! Here, all the attention is paid to ensuring the patient has the best chance to heal and recover both before, during, and after surgery.

I suspect my illness may have taken root about 10 years age in which looking back was clearly a slow, mysterious decline in which I tried many different treatments. After almost everything had been tried, I had this Eureka! moment where I said it must be my teeth! My mom had sent me an article about a year before that entitled “How your teeth may be killing you.

The rest is Providence how I ended up in Kreuzlingen. I am much stronger now, clearer head, and my body is free of muscle weakness, and joint pain is gone. Circulation seems improved. Gut health is getting better all the time. Slowly was getting stronger after 2 years of working with my nutritionist, then after surgery, it was an “overnight improvement”. My heart felt tired a week before, now strong and happy.

The greatest sign of success is that my Happiness and Joy is back!